Come see us today if you have a minor or major ailment. Stitches, sprains, broken bones, infections, fever/flu.
Ct Fluid-blood Levels In Covid-19 Intracranial Hemorrhage American Journal Of Neuroradiology
Our team of highly skilled technical staff and board certified radiologists work together with referring physicians with one unified goal;

Urgent care with ct scan nj. It is the easiest way to find out if they have the equipment, you require. New jersey imaging network (njin) of englewood cliffs. Here are a few tips to find a critical care facility with a ct scan.
To learn more about the services we offer, please contact cape regional urgent care. With a commitment to diagnostic excellence and personalized care, we provide our physicians with the timely images and information needed to make the best decision. Urgent care with ct scan nj.
5 instances when your doctor may order one. Our ct scanner can handle bariatric patients up to 450 pounds. However, not all of them have equipment such as ct scan.
Stop in or make an appointment online, our urgent care is open 7 days a week from 8 am to 8 pm. The center for urgent care 10940 e sr 70, suite 103 lakewood ranch, fl 34202. New jersey urgent care doctors or emergency care doctors can effectively cure urgent health issues like allergy ,std,injuries,critical illness and other health problems in pompton plains, sayreville, nj.
Monmouth medical center southern campus. Riverside urgent care, middletown is an urgent care center in middletown, located at 752 washington st. It can show much more detail than a.
It creates detailed images that provide the radiologist with a road map for the biopsy needle to travel to take the tissue sample. Our ct scanner can handle bariatric patients up to 450 pounds. We incorporate recent advanced within our ct scanners and are capable of ultra rapid scanning and helical imaging.
A computed tomography scan or ct scan, is a test often ordered by physicians to check for a variety of health conditions. The best way to find one with a ct scan is to call. 107 cedar grove lane, suite #108.
Cherry hill cherry hill office for directions to this location: Providing most convenient imaging experience for our patients. Walk in to our cape may court house, nj, location to see a doctor quickly any day of the week.
Call the urgent care center. 11 court house south dennis road cape may court house, nj 08210 Call urgent care of new jersey when you want immediate, convenient care without making a trip to the emergency room.
We can perform ct scans of any body parts (such as head, chest, abdomen, pelvis, etc). 107 cedar grove lane, suite #108. Urgent care imaging center is an integrated radiology services provider to a wide array of medical practices.
Faster and lower cost than the emergency room. Ct scans are offered at our urgent care st. There may be numerous urgent care centers in your area, especially if you live in a densely populated area.
At cape regional urgent care, the wait is over. Urgent care facilities our urgent care facilities are open seven days per week and on holidays for your convenience. Walk in without an appointment.
The unterberg children's hospital at monmouth medical center. Our experienced medical staff is able to treat patients of all ages for all urgent and acute care. Sanitas medical centers has urgent care services near you.
Open nights, weekends and holidays. Ask them if they have a ct scan. Or, stop by and see us in marmora, nj, any day of the week.
Ct imaging greatly decreases the chance of accidentally puncturing blood vessels, airways, nerves or organs during the procedure. Our experienced medical staff is able to treat patients of all ages for all urgent and acute care.

How Much Does A Ct Scan Cost Near Me - From 220

Ai Algorithm Automates Cystic Fibrosis Ct Scan Analysis - General Imaging - Medimagingnet

A Very Informative Article Describing Just What A Ct Scan Is It Also Lets You Know How To Prepare For It What Happens During Ct Scan Medical Tests Pet Scan

Maximum Intensity Projections Of Petct Scans Of A Mouse Bearing A Download Scientific Diagram

Chest Ct Scan With Iv Contrast In Transverse Section Shows A Large Download Scientific Diagram

Ct Imaging Selection In Acute Stroke - European Journal Of Radiology

Ct Scan Revealing A Complex Pelvic Mass A 18 X 15 Cm Mass Can Be Seen Download Scientific Diagram

Axial Ct Scan Of The Nasal Cavity In Bone Window At The Level Of Choana Download Scientific Diagram

Computed Tomography - Radiology - Atlantic Health

Chest Ct Scan During Invasive Pulmonary Aspergillosis A Chest Ct Download Scientific Diagram

Ctcat Scan - Englewood Health

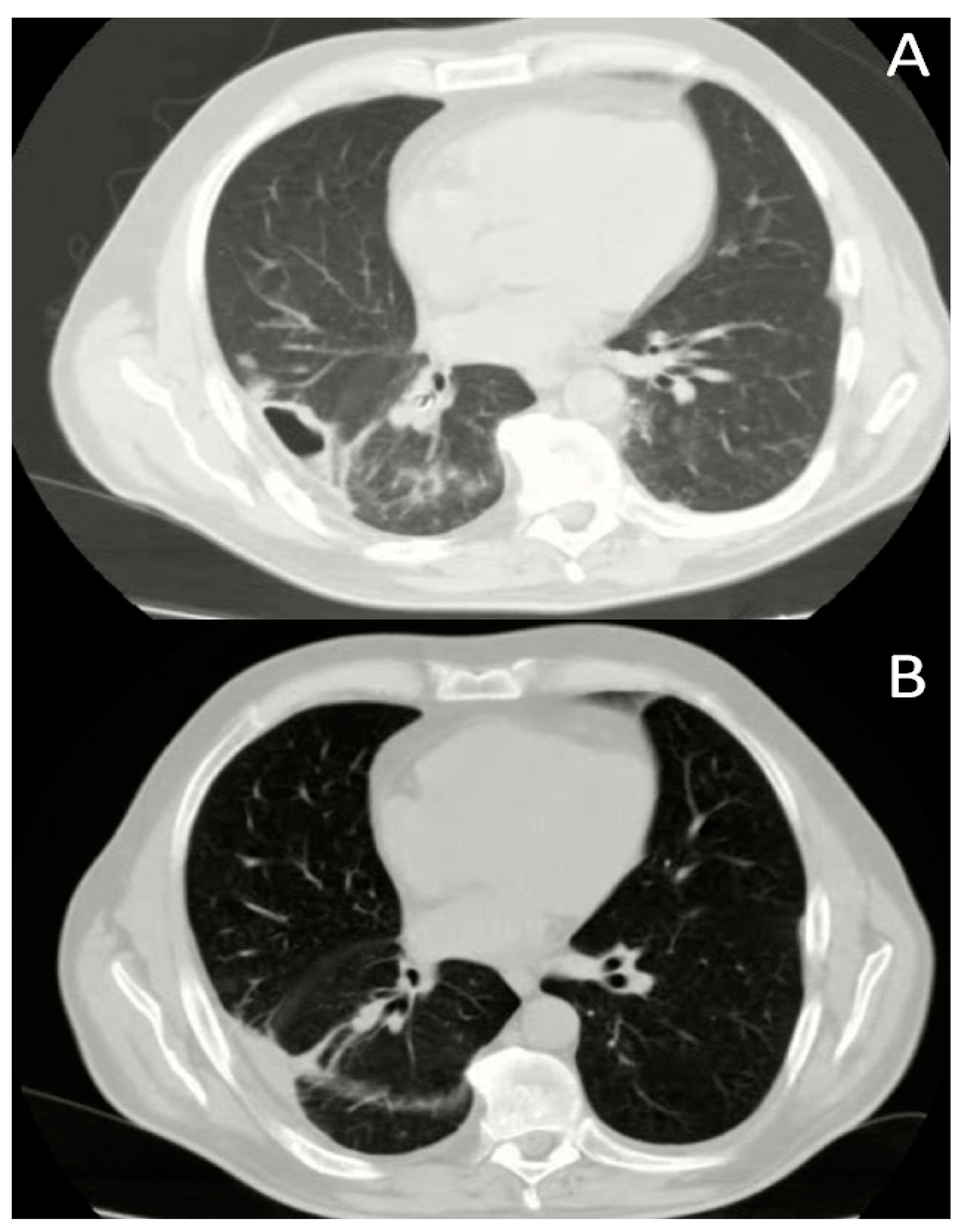
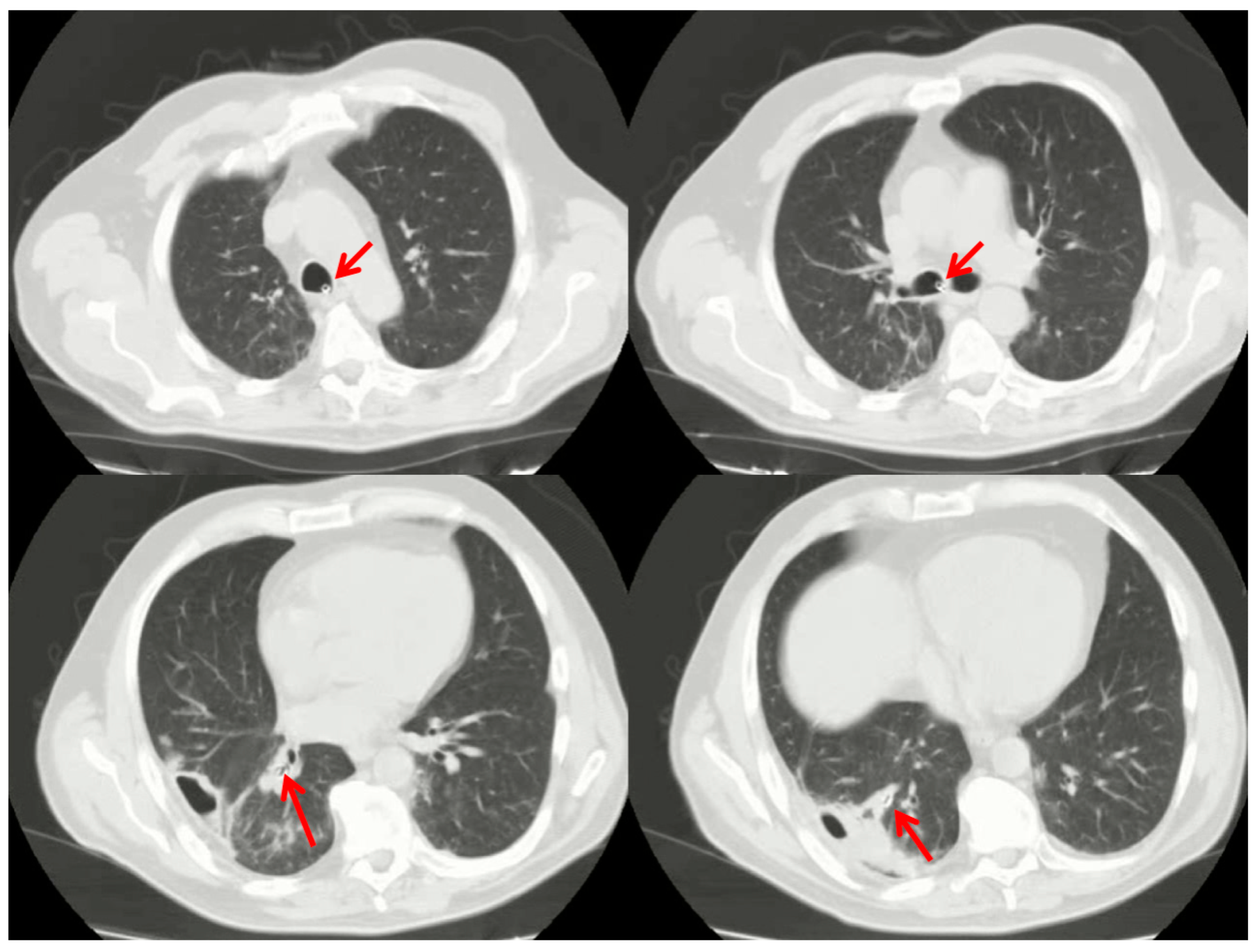
Ijerph Free Full-text Endoscopic Treatment And Pulmonary Rehabilitation For Management Of Lung Abscess In Elderly Lymphoma Patients Html

Ct Scan Information Mount Sinai - New York

Ai-driven Software Uses Ct Scans To Determine Extent Of Brain Injury In Stroke Patients - Industry News - Medimagingnet

How To Read A Brain Ct Scan Moderate Ct Scan Brain Reading

Ijerph Free Full-text Endoscopic Treatment And Pulmonary Rehabilitation For Management Of Lung Abscess In Elderly Lymphoma Patients Html

Ct Scan Side Effects - Risks Of A Ct Scan

Ai Outperforms Radiologists In Detecting Tiny Brain Hemorrhages On Ct Scans - Industry News - Medimagingnet

A Ct Scan Of Upper Abdomen Shows Gas In Peripheral Portal Veins Of Download Scientific Diagram
Urgent Care With Ct Scan Nj. There are any Urgent Care With Ct Scan Nj in here.